خبرگزاری کار ایران

پلاک مغزی و نخاعی

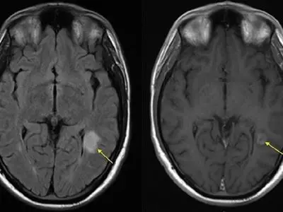
  • سیستم عصبی ما یک شاهکار مهندسی است؛ شبکه‌ای هوشمند که فرمان‌های مغز را در کسری از ثانیه به تمام بدن مخابره می‌کند. اما تصور کنید در این شبکه پیچیده، برخی از مسیرهای ارتباطی دچار اختلال یا اتصال کوتاه شوند. این دقیقا اتفاقی است که با تشکیل پلاک‌های مغزی و نخاعی رخ می‌دهد. این ضایعات می‌توانند عملکرد طبیعی بدن را مختل و علائمی ایجاد کنند که کیفیت زندگی را تحت تاثیر قرار می‌دهد. در ادامه به این موضوع می‌پردازیم که پلاک مغزی و نخاعی چیست و چگونه می‌توان آن را مدیریت کرد.