عضو هیات علمی دانشگاه علوم پزشکی کاشان:
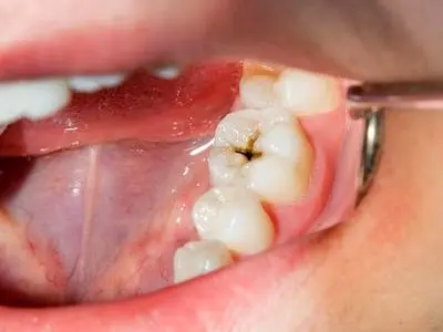
عضو هیات علمی دانشگاه علوم پزشکی کاشان ضمن توصیه بر اجتناب کودکان از مصرف شیرینی و شکلات گفت: نوشابه، شکلات و آب میوههای صنعتی آثار بسیار مخربی برای دندان دارد و سرآغاز شیوع پوسیدگی است.
عضو هیات علمی دانشگاه علوم پزشکی کاشان ضمن توصیه بر اجتناب کودکان از مصرف شیرینی و شکلات گفت: نوشابه، شکلات و آب میوههای صنعتی آثار بسیار مخربی برای دندان دارد و سرآغاز شیوع پوسیدگی است.