رییس انجمن علمی متخصصان ریه ایران درباره بار بیماریهای آسم و مزمن ریوی و تاثیر آلودگی هوا و دخانیات بر بروز این بیماریها توضیح داد.
رییس انجمن علمی متخصصان ریه ایران درباره بار بیماریهای آسم و مزمن ریوی و تاثیر آلودگی هوا و دخانیات بر بروز این بیماریها توضیح داد.
نیکو هیدالگو، بازیکن سابق گرانادا، کادیز، راسینگ و اکسترمادورا در سن ۳۲ سالگی بر اثر سرطان ریه درگذشت.
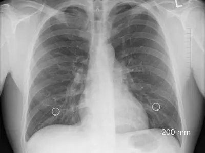
عضو هیات علمی دانشگاه علوم پزشکی مشهد اظهار کرد: مصرف سیگار و دخانیات ریسک ابتلا به انواع سرطان ها را افزایش می دهد که شایع ترین آنها سرطان ریه است.
سرطان یکی از علل اصلی مرگ و میر در دنیا است و سلبریتی ها نیز از این قاعده مستثنی نیستند. در حقیقت، چهره های مشهور زیادی بر اثر ابتلا به سرطان جان خود را از دست داده اند که در ادامه با برخی از آن ها آشنا خواهیم شد.
چندی پیش مجوز کارخانه فروسیلیس دامغان با وعده اشتغال ۵۰۰ نفر در این واحد صنعتی، از مراجع قانونی صادر شد.وعده ای که باعت شد تا بسیاری از دامغانیها به آن دلخوش شوند.اما از طرف دیگر احتمال ایجاد آلودگی کارخانه برخی از طرفداران زیست محیطی را نگران کرده است.حفظ سلامتی شهروندان یا اشتغالزایی برای ۵۰۰ نفر؛ اولویت با کدام است ؟
رییس بخش آنکولوژی بیمارستان دکتر مسیح دانشوری، سرطان ریه را جزو شایعترین سرطانها در جهان و مصرف دخانیات را مهمترین عامل بروز آن دانست.
وزیر بهداشت گفت: بخش مهمی از اعتبارات حوزه سلامت که باید صرف بهداشت عمومی و درمان مردم شود، صرف درمان بیماری هایی که ناشی از استعمال دخانیات است، می شود.